AE-Adult-Echocardiography Practice Questions
AE Adult Echocardiography Examination
Last Update 1 day ago
Total Questions : 137
Dive into our fully updated and stable AE-Adult-Echocardiography practice test platform, featuring all the latest RDCS exam questions added this week. Our preparation tool is more than just a ARDMS study aid; it's a strategic advantage.
Our free RDCS practice questions crafted to reflect the domains and difficulty of the actual exam. The detailed rationales explain the 'why' behind each answer, reinforcing key concepts about AE-Adult-Echocardiography. Use this test to pinpoint which areas you need to focus your study on.
The sonographer obtains this Doppler signal while using the non-imaging transducer in the apical position. What is the best way to differentiate between mitral regurgitation and aortic stenosis signals in the waveform shown in this image?

Which color Doppler adjustment would optimize visualization of flow across the interatrial septum?
Which method of measuring left atrial size is most recommended and most accurate?
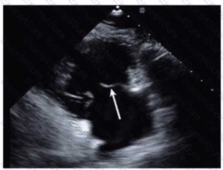
Which phase of the cardiac cycle is indicated by the arrow on this image?

A patient presents in the emergency room with a history of chronic high Wood pressure and new onset severe back pain. A physical exam reveals a new diastolic murmur. Which would be the most likely finding?
Which of the following measurements is required for calculating the Qp/Qs ratio?

