AE Adult Echocardiography Examination
Last Update 1 day ago
Total Questions : 137
RDCS is stable now with all latest exam questions are added 1 day ago. Incorporating AE-Adult-Echocardiography practice exam questions into your study plan is more than just a preparation strategy.
AE-Adult-Echocardiography exam questions often include scenarios and problem-solving exercises that mirror real-world challenges. Working through AE-Adult-Echocardiography dumps allows you to practice pacing yourself, ensuring that you can complete all RDCS practice test within the allotted time frame.
A "dropout" or loss of echoes from structures posterior to a calcified mitral annulus results in which artifact?
The variables necessary to calculate mitral regurgitant (MR) effective orifice area by the proximal isovelocity surface area (PISA) equation include MR aliasing hemispheric radius, the aliasing velocity, and which other parameter?
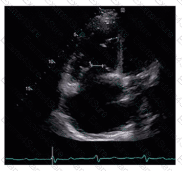
What can be concluded about the tricuspid valve demonstrated in this image?

In cardiac tamponade, how do transvalvular pressure gradients change during expiration?
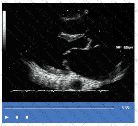
Which of the following is the most likely cause for the findings demonstrated in this video?

Which two-dimensional method is recommended for assessing left ventricular ejection fraction when regional wall motion abnormalities are present?
When utilizing contrast agents, what should the sonographer keep in mind?

TESTED 09 Nov 2025
Hi this is Romona Kearns from Holland and I would like to tell you that I passed my exam with the use of exams4sure dumps. I got same questions in my exam that I prepared from your test engine software. I will recommend your site to all my friends for sure.
Our all material is important and it will be handy for you. If you have short time for exam so, we are sure with the use of it you will pass it easily with good marks. If you will not pass so, you could feel free to claim your refund. We will give 100% money back guarantee if our customers will not satisfy with our products.